Hiátová hernia je stav, ktorý postihuje mnoho ľudí, často bez toho, aby si to uvedomovali. Vzniká, keď časť žalúdka pretlačí bránicu do hrudnej dutiny. Tento stav môže viesť k rôznym príznakom a komplikáciám, preto je nevyhnutné pochopiť jeho význam. Hiátová hernia je zdravotný stav charakterizovaný vyčnievaním hornej časti žalúdka cez bránicu do hrudnej dutiny.
Bránica je svalová stena, ktorá oddeľuje hrudník od brucha a hrá kľúčovú úlohu pri dýchaní. U zdravého jedinca prechádza pažerák otvorom v bránici nazývaným hiát predtým, ako sa spojí so žalúdkom. Za normálnych okolností prechádza jícen do žaludku svěračem, který je tvořen bránicí a žaludek má fyziologické zakřivení. Je tedy zajištěno, aby kyselá žaludeční šťáva nepronikala do jícnu, jehož sliznice není kontaktu s „kyselinou“ přizpůsobena.

Hiátová hernia znamená, že je málo funkční svěrač alebo není vhodné zaúhlení horní části žaludku alebo obojí. Pak se část žaludku tlačí nad bránici buď v ose jícnu nebo vedle něj a usnadňuje průnik „kyseliny“ ke zranitelné sliznici jícnu. To má za následek pálení žáhy, bolesti, chronické záněty (v extremním případě i vznik nádoru), v poloze vleže dokonce zatékání obsahu až k oblasti hlasivek (chrapot) či přetékání do dýchacích cest (chron. kašel).
Hiátová prietrž je stav, pri ktorom sa horná časť žalúdka vydúva cez otvor v bránici. Vaša bránica je tenký sval, ktorý oddeľuje váš hrudník od brucha. Vaša bránica pomáha zabrániť tomu, aby sa kyselina dostala do pažeráka. Keď máte hiátovú prietrž, je ľahšie, aby sa kyselina objavila. Tento únik kyseliny z vášho žalúdka do pažeráka sa nazýva GERD (gastroezofageálna refluxná choroba).
Typy hiátovej hernie
Hiátové hernie možno rozdeliť na dva hlavné typy:
- Skluzná hernie (par glissement): Toto je najčastejší typ. Do mediastina (priestor v hrudníku medzi pľúcami) je dislokovaná gastroezofageálna junkcia (prechod medzi pažerákom a žalúdkom). Jedná sa o nepravú kýlu, nie je teda prítomný kýlní vak a chýba Hisov uhol. Pri sklznej hernii sa nad bránicu dostane priechod pažerák - žalúdok a najčastejšie vedie ku gastroezofageálnemu refluxu.
- Paraezofageálna hernie: Je menej častá. Do mediastina je dislokovaný fundus žalúdka (časť žalúdka nad kardiou), zatiaľ čo gastroezofageálna junkcia zostáva v peritoneálnej dutine (brušnej dutine). Hisov uhol zostáva zachovaný. Táto hernia je veľmi vzácna a môže spôsobiť krvácanie, vredy alebo erózie, s nebezpečenstvom uskrinutia.
Extrémnym prípadom je dislokácia celého žalúdka do mediastina, čo sa nazýva "upside-down stomach". V tomto prípade v dutine brušnej zostávajú len kardia (časť žalúdka pri vstupe z pažeráka) a pylorus (výstupná časť žalúdka).

Príčiny vzniku hiátovej hernie
Často je príčina hiátovej prietrže neznáma. Môže to súvisieť so slabosťou okolitých svalov. Niekedy je príčinou zranenie alebo vrodená chyba. Medzi hlavné príčiny Hiátovej hernie patria:
- Obezita: Zvýšený tlak v brušnej dutine, ktorý môže viesť k vytláčaniu orgánov.
- Nedostatočná fixácia pojivovej tkáně v oblasti přechodu mezi jícnem a žaludkem.
- Faktory životného štýlu: Fajčenie a sedavý spôsob života môžu zvýšiť tlak v brušnej dutine.
- Genetické faktory: Jedinci s rodinnou anamnézou hernií môžu byť vystavení vyššiemu riziku.
- Faktory prostredia: Chronický kašeľ, vracanie alebo namáhanie počas stolice môže zvýšiť tlak v brušnej dutine, čo môže viesť k hernii.
K dislokácii žalúdka (prípadne aj ďalších nitrobřišních orgánov) môže dôjsť aj pri ťažkých úrazoch. Orgány môžu byť premiestnené do mediastina alebo do pleurálnej dutiny. Jedná sa o nepravé kýly.
Príznaky hiátovej hernie
Mnoho ľudí s hiátovou herniou nemusí pociťovať žiadne príznaky. Niektoré príznaky však môžu naznačovať závažnejší stav a vyžadujú si okamžitú lekársku pomoc. Medzi bežné príznaky patria:
- Pálenie záhy
- Regurgitácia (návrat potravy alebo žalúdočného obsahu do úst)
- Ťažkosti s prehĺtaním
- Bolesť na hrudníku
- Nadúvanie
- Grganie
- Bolesť v epigastriu (pri strangulácii - uskrinutí)
- Zvracanie (pri poruchách pasáže)
- Chrapot (pri zatékání obsahu až k oblasti hlasivek)
- Chronický kašeľ (pri pretékání do dýchacích ciest)
Príznaky nemusí byť u hernie vôbec jasné. Môže sa jednať o nešpecifické príznaky, ktoré nemusia vôbec viesť k diagnostike tohto ochorenia. Pri diagnostike je vždy potrebné zistiť, kedy sa bolesť a nepríjemné pocity objavujú.
Všetko, čo potrebujete vedieť o hiátovej hernii | Príčiny, príznaky, diagnostika a liečba
Diagnostika hiátovej hernie
Diagnostika hiátovej hernie zvyčajne začína dôkladným klinickým vyšetrením. Poskytovateľ zdravotnej starostlivosti si vyžiada podrobnú anamnézu pacienta vrátane symptómov, faktorov životného štýlu a akýchkoľvek základných zdravotných problémov.
Medzi diagnostické metódy patria:
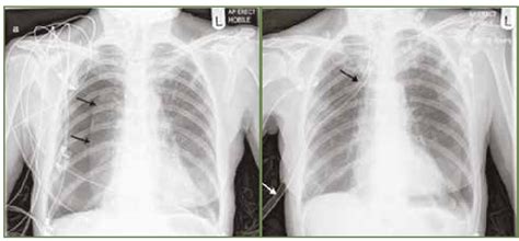
- RTG s kontrastnou látkou: Vyšetrenie rozlíši jednotlivé typy kýly. Na RTG hrudníku možno vidieť žalúdočnú bublinu v mediastine. Pri diagnostike je vždy potrebné zistiť, kedy sa bolesť a nepríjemné pocity objavujú. Robí sa špeciálne röntgenové vyšetrenie, pri ktorom sa sleduje prehĺtací akt. Pacient zje kašu, ktorá obsahuje kontrastnú látku a je dobre viditeľná na röntgene - tým sa sleduje prechod značenej potravy tráviacim traktom.
- Endoskopia: Pri ktorej možno preukázať ezofagitídu (zápal pažeráka), ktorá vzniká v dôsledku gastroezofageálneho refluxu.
- RTG hrudníku: Obyčajná RTG snímka hrudníka môže odhaliť hiátovú herniu.
- Vyšetrenie brušnej dutiny hmatom
- Zobrazovacie metódy: USG/SONO, CT alebo MRI.

Liečba hiátovej hernie
Liečba hiátovej hernie často závisí od závažnosti symptómov. V prípadoch, keď sú príznaky závažné alebo sa vyskytnú komplikácie, môže byť potrebný chirurgický zákrok.
Konzervatívna liečba
Konzervatívna liečba spočíva v podávaní antacíd a inhibítorov protonovej pumpy (napr. Helicid®) alebo H2 blokátorov. Tieto liečivá sa využívajú najmä pri sklznej hiátovej prietrži, sprevádzanej gastroezofageálnym refluxom. Ak vám hiátová hernia nerobí väčšie ťažkosti, nie je potrebné ju odstraňovať ani nijako liečiť. Je dobré užívať lieky na upokojenie pažeráka a žalúdočnej sliznice.
Chirurgická liečba
Chirurgická liečba je indikovaná u každej paraezofageálnej kýly a ďalej u konzervatívne nezvládnuteľného refluxu. Ak je nutná liečba, najúčinnejšia je v tomto prípade chirurgická liečba, kedy sa kýla odstráni a žalúdok sa vráti do fyziologického postavenia. Operácia zahŕňa repozíciu žalúdku. Kýlní vak je buď zresekován, alebo ponechaný. Prevedie sa uzáver kýlní branky (hiatorafie). Možno previesť fixáciu fundu k bránici (fundopexe - môže byť použité aj na uzáver defektu) alebo fixáciu prednej žalúdočnej steny k stene brušnej (gastropexe). Väčšina prípadov končí chirurgickým zákrokom, pri ktorom sa vydutina zatlačí späť na miesto a posilní sa oslabená brušná stena. Chirurgický zákrok je obvykle jednodňový.

Zmeny životného štýlu
Okrem liekov môžu zmeny životného štýlu výrazne zlepšiť príznaky a celkovú kvalitu života. Spôsob, ako predchádzať hiátovej hernii, síce neexistuje, ale prevenciou sa dá znížiť jej výskyt. Dôležité je obmedziť konzumáciu potravín, ktoré dráždia sliznicu žalúdka (pikantné, mastné, vyprážané a slané jedlá), mäso, alkohol a podobne.
Medzi odporúčané zmeny životného štýlu patria:
- Jedenie malých jedál
- Vyhýbanie sa niektorým jedlám (napr. tučné, kyslé, korenené jedlá, káva, alkohol, čokoláda)
- Nefajčenie
- Chudnutie (v prípade nadváhy)
- Vyhýbanie sa fyzickej námahe, ktorá zvyšuje tlak v brušnej dutine (napr. dvíhanie ťažkých bremien)
- Spánok s vyvýšenou hlavovou časťou postele
Komplikácie a prognóza
Krátkodobé komplikácie môžu zahŕňať silnú bolesť a nepohodlie, zatiaľ čo dlhodobé komplikácie môžu viesť k chronickým problémom s pažerákom a zvýšenému riziku rakoviny. Ak je hernia prítomná dlhšie, ďalším tlakom (kašľanie, kýchanie) sa môže zväčšovať. Pruh môže v prípade čriev viesť k ich nepriechodnosti, vzniku zápalu a v najhoršom prípade k postupnému odumieraniu tkaniva. V niektorých prípadoch môže nastať perforácia, alebo roztrhnutie čreva, pričom sa obsah čriev vyleje do brušnej dutiny.
Prognóza pre jednotlivcov s hiátovou herniou je vo všeobecnosti dobrá, najmä pri včasnej diagnóze a vhodnej liečbe. Mnoho jednotlivcov dokáže účinne zvládnuť svoje príznaky zmenami životného štýlu a liekmi. Väčšina ľudí sa zotaví do šiestich týždňov po operácii, pričom mnohí ľudia sú schopní ľahkej aktivity už po dvoch týždňoch. To samozrejme závisí od regenerácie organizmu každého človeka osobne.